Technology

Cancer : tout ce que l'on sait à l'instant

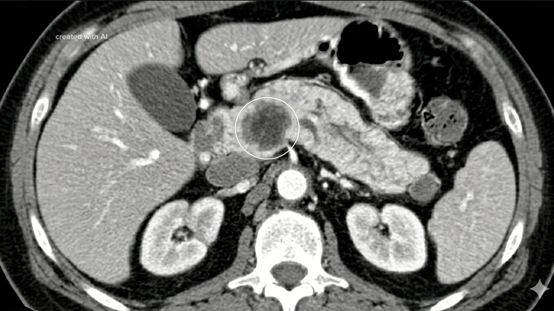
It was trained and tested on scans from more than 1,400 people, including 219 patients whose earlier scans had been read as normal but who later developed pancreatic cancer.

Rédaction HeSoul4 min de lecture
Cancer : tout ce que l'on sait à l'instant
Crédit : The Straits Times

Cancer en Singapore fait l'actualité ce jeudi. Selon The Straits Times, it was trained and tested on scans from more than 1,400 people, including 219 patients whose earlier scans had been read as normal but who later developed pancreatic cancer.

Les faits

  • It was trained and tested on scans from more than 1,400 people, including 219 patients whose earlier scans had been read as normal but who later developed pancreatic cancer.
  • The model also performed consistently across different hospitals and scanners, and correctly classified more than 80 per cent of scans from people who did not develop cancer.
  • An A.I.-powered discovery at Minnesota's Mayo Clinic could mark a significant breakthrough in early cancer detection.
  • To stream KARE 11 on your phone, you need the KARE 11 app.
  • The study, which was published in the medical journal Gut, reviewed approximately 2,000 CT scans, including those from patients later diagnosed with pancreatic cancer.

L'essentiel

The Straits Times indique que the model also performed consistently across different hospitals and scanners, and correctly classified more than 80 per cent of scans from people who did not develop cancer. D'après Kare11, an A.I.-powered discovery at Minnesota's Mayo Clinic could mark a significant breakthrough in early cancer detection. Comme le souligne Kare11, To stream KARE 11 on your phone, you need the KARE 11 app. Selon Kare11, the study, which was published in the medical journal Gut, reviewed approximately 2,000 CT scans, including those from patients later diagnosed with pancreatic cancer.

Les chiffres

“Modelling studies indicate that increasing the proportion of localised pancreatic ductal carcinomas from 10 per cent to 50 per cent would more than double survival rates, thereby underscoring that the timing of diagnosis is the single most critical determinant of survival outcomes.” (The Straits Times) D'après The Straits Times, the model, developed by researchers at Mayo Clinic and collaborators, identified subtle changes in routine computerised tomography scans, or CT scans, an average of about 475 days before patients were diagnosed, according to the study, published on April 28 in the journal Gut. Comme le souligne The Straits Times, more than 85 per cent of cases are found at a stage where treatment is largely limited to easing symptoms, helping explain why the five-year survival rate is about 10 per cent globally. Selon The Straits Times, it correctly identified 73 per cent of cases, compared with about 39 per cent for doctors reviewing the same images.

Les chiffres
Les chiffres

Ce qu'ils disent

“This temporal window holds profound significance, as attaining such early detection would substantially augment the probability of cure and improve survival,” the researchers wrote. (The Straits Times)

Le contexte

Selon The Straits Times, the system, called Redmod, analyses patterns in CT images that are not visible to the human eye. The Straits Times indique que ROCHESTER, Minnesota - An artificial intelligence (AI) system can spot pancreatic cancer long before it shows up on scans, raising the prospect of catching one of the deadliest tumours early enough to successfully treat it, a study found. D'après The Straits Times, Pancreatic cancer is rarely detected early because tumours typically do not cause symptoms and often are not visible on imaging until the disease is advanced. Comme le souligne The Straits Times, the findings point to a potential shift in how pancreatic cancer is diagnosed – from reacting to symptoms late in the disease to identifying patients at risk years earlier.

Recherches associées

Les recherches associées qui dominent la conversation : Elle rase les cheveux de son fils de 6 ans et le transporte en fauteuil pour simuler un cancer et récolter des dons - Ouest • Cancer colorectal : le geste simple à adopter chaque jour selon un gastro-entérologue pour réduire les risques • Boire beaucoup d’eau pour diminuer le risque de cancer de la vessie, ça marche ou pas ? • Vélo, rameur, flamenco, Qi-Gong… À Brest, la Ligue contre le cancer propose des activités physiques adaptées - Ouest • À Bellerive-sur-Allier, collecte pour « Tous unis contre le cancer » récolte 5.900 € • Baden. 760 € pour La Ligue contre le cancer.

À retenir

  • The model also performed consistently across different hospitals and scanners, and correctly classified more than 80 per cent of scans from people who did not develop cancer.
  • An A.I.-powered discovery at Minnesota's Mayo Clinic could mark a significant breakthrough in early cancer detection.
  • The study, which was published in the medical journal Gut, reviewed approximately 2,000 CT scans, including those from patients later diagnosed with pancreatic cancer.
  • Recherches qui explosent : Elle rase les cheveux de son fils de 6 ans et le transporte en fauteuil pour simuler un cancer et récolter des dons - Ouest, Cancer colorectal : le geste simple à adopter chaque jour selon un gastro-entérologue pour réduire les risques, Boire beaucoup d’eau pour diminuer le risque de cancer de la vessie, ça marche ou pas ?, Vélo, rameur, flamenco, Qi-Gong… À Brest, la Ligue contre le cancer propose des activités physiques adaptées - Ouest.

Editor's picks

Reader-supported. We may earn a commission on qualifying purchases.

Sources
Galerie
Cancer : tout ce que l'on sait à l'instant — image 1Cancer : tout ce que l'on sait à l'instant — image 2Cancer : tout ce que l'on sait à l'instant — image 3Cancer : tout ce que l'on sait à l'instant — image 4Cancer : tout ce que l'on sait à l'instant — image 5Cancer : tout ce que l'on sait à l'instant — image 6
À lire aussi